義歯(入れ歯)
MEDICAL
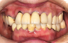
「痛い」「噛めない」「すぐに落ちる」といった入れ歯のお悩みをお持ちではないでしょうか。
千種区の歯医者 今池歯科クリニックでは、日本補綴歯科学会の専門知識と、
これまでの経験で培った技術を持つ歯科医師が
患者さま一人ひとりに合った、精密なオーダーメイド入れ歯をご提供します。
KODAWARI





























01
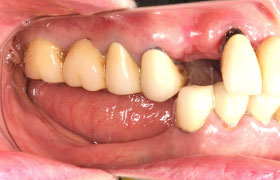
異物感・違和感が大きい
入れ歯の留め具が目立つ
噛むと痛い、硬いものは噛めない
口元のしわが気になる、老けて見える
すぐに外れそうになり会話が楽しめない
何度作り変えてもすぐに壊れる
02
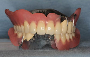
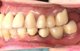
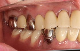
入れ歯は人工歯、留め具、歯ぐきの代わりとなる床で構成されますが、保険診療ではそれぞれの使える素材が限られています。
人工歯と床の素材は樹脂(プラスチック、レジン)のみ、クラスプ(留め具)は金属のみとなります。安価で修理しやすいのが最大のメリットですが、素材の制限から装着時の違和感や味や温度を感じづらいといった問題、場所によっては金属の留め具が目立つといった見た目の問題が生じます。
丈夫で生体親和性の良い金属素材やクラスプ(留め具)が必要ない素材、やわらかく安定感にも優れたシリコーン素材など、歯ぐき部分の材質や人工の歯の色味も自由にお選び頂くことができ、より本物らしい見た目や使い心地に仕上げることができます。
自由診療ならではの機能性や審美性を追求した入れ歯で、様々なお悩みを解決することができます。
03
歯を固定する装置と床部分が柔らかく歯肉に近い色の樹脂でできており、樹脂の弾性を利用して装着します。
金属のクラスプ(留め具)が無いので、固定する周囲の歯を傷つける心配がなく、また、入れ歯を装着していることが周囲から気付かれないような自然な見た目を演出できます。
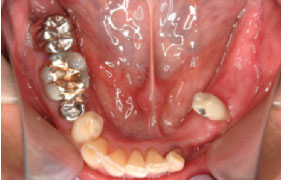
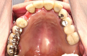
歯肉に触れる部分が金属素材で作られています。熱伝導性に優れている金属を骨組みにするため、食べ物の温かさや冷たさを感じることが出来ます。
さらに保険の入れ歯の3分の1程度まで薄くすることができ、細かい調整がしやすいため装着時に違和感をほとんど感じない自然なつけ心地になります。金属なので耐久性にも優れています。
名前の通り、マグネットの力を利用した入れ歯です。残ってる自分の歯に磁性金属を埋め込み、密着する入れ歯に超小型磁石を取り付けることで磁力によりピッタリ吸着させます。
見た目にもきれいで他人の目線も気になりません。さらに入れ歯を固定する金属の留め具がないので周囲の歯へ負担をかける心配もありません。
04





